矯正治療例 <治療前・治療後の比較>



上顎前突(出っ歯)の治療  叢生(凸凹)の治療
下顎前突(受け口)の治療  開咬の治療




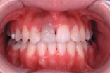
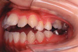
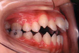
上顎前突(出っ歯)
の治療

矯正治療前
矯正治療後




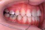
叢生(凸凹)
の治療

矯正治療前
矯正治療後




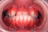
下顎前突(受け口)
の治療

矯正治療前
矯正治療後




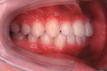
開咬の治療

矯正治療前
矯正治療後



閉じる